0902030407
Tư vấn sản phụ khoa và SÂ 0904130512
Tư vấn khám bệnh
Bác sỹ
Liên hệ bác sĩ trực
090.3.228.448
Tư vấn khám bệnh
| Mã | Bán | Mua |
|---|
Source vietcombank.com.vn
Lượt truy cập: 1628533
Trực tuyến: 27
Trực tuyến: 27
Số lượt xem: 6076
Gửi lúc 10:36' 25/03/2013
Bệnh sâu răng
Sâu răng -- Đau răng. Vì sao lại khổ thế này!!!!!
1. Các kiến thức nhận biết chung về Sâu Răng:
Sâu rǎng làm tiêu men rǎng, ngà rǎng, các tổ chức không có tế bào trên răng. Lưu ý: Bệnh không tự khỏi
Nguyên nhân
- Do bẩm sinh, do hình thể: rãnh, lõm trên mặt nhai dễ bị sâu.
- Do thức ǎn: nhất là đường- nguồn thức ǎn của vi khuẩn.
Triệu chứng: tê hoặc buốt khi uống nước nóng quá hoặc lạnh quá, sau đó là đau nhức. Nhìn thấy vết đen hoặc lỗ sâu trên bề mặt răng...
Dự phòng:
- Chải rǎng thường xuyên vào buổi sáng hoặc tối, chải rǎng đúng cách bằng bàn chải lông mềm, chải mặt ngoài, mặt trong và mặt nhai, trên và dưới. Nên cầm bàn chải quay 450 về phía lợi, chải kỹ rìa lợi và cổ rǎng.
- Súc miệng, nên súc lần cuối với nước chè (chè tươi, chè hạt, nước vôi) trong vài phút vì chè có nhiều flo.
- Nên tập cho trẻ từ tuổi mẫu giáo thói quen chải rǎng, tránh ǎn bánh, kẹo giữa các bữa ǎn. Nếu ǎn nên súc miệng ngay.
- Dùng nước máy, muối ǎn, sữa chứa flo, dùng kem đánh rǎng có flo giảm được 30% sâu rǎng.
- Dùng chất nhựa, selant phủ lên mặt nhai.
Điều trị: khi bị sâu rǎng cần điều trị sớm bằng khoan rǎng, trám rǎng hoặc điều trị tủy nếu tủy hỏng. Cần điều trị sớm, không đợi rǎng đau mới chữa.
2. Các hình ảnh minh họa cụ thể cho dễ hiểu:
* Sâu mặt nhai mới bị:


Sau khi làm sạch lỗ sâu, nha sỹ sẽ hàn sẽ như này:
]* Sâu nặng hơn: Mặt nhai




Hình ảnh trên XQ:

Hình ảnh miêu tả thực chất quá trình sâu răng:

Khi đó nếu đã xâm phạm vào tủy răng thì nha sỹ sẽ khoan để điều trị tủy, lấy hết tủy viêm, hoại tử để hàn kín. Phục hình lại:

Mọi người để ý trong lòng răng đã khoan, có 3 ống tủy nhìn từ buồng tủy vào.
* Sâu kẽ giữa hai răng: là lọai sâu khó phát hiện, điều trị phức tạp nhất:
Răng cửa với các vết đen:

]
Răng hàm:



X quang thấy:

* Sâu cổ răng, tiêu lõm hình chêm:

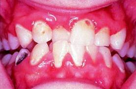
* Sâu sún, thiểu sản răng sữa răng trẻ em, đôi khi gặp ở R vĩnh viễn người trưởng thành:

Kinh khủng luôn:


+ PHẢN HỒI CỦA BẠN ĐỌC VỀ BÀI VIẾT:
Các tin khác
- Cao răng và viêm lợi - điều trị đơn giản và nhanh chóng! (25/03/2013)
- Chuyên mục Hỏi đáp Sản phụ khoa - Bs Thanh Dung (27/02/2013)
- Những điều cần biết về polyp đại tràng (20/04/2012)
- Phân biệt trĩ nội và trĩ ngoại (20/04/2012)
- Táo bón, trĩ và chế độ dinh dưỡng hợp lý (14/04/2012)
- Bệnh trĩ: Dùng thuốc hay phẫu thuật? (12/04/2012)
- Cao răng viêm lợi - bệnh nhiều nguy cơ nhưng Chữa thật đơn giản. (17/03/2012)
- Phòng bệnh Chữa bệnh tại nhà - Phát hiện sớm Sốt xuất huyết. (16/02/2012)
- Cách diệt Muỗi gây bệnh trong nhà. (15/02/2012)
- Chương trình chào mừng ngày thành lập Công đoàn Việt Nam (28/07/2011)






